A 32-year-old woman presented at the emergency department of a Dublin hospital with 19 sewing needles lodged in her chest and abdomen – two of which had penetrated her heart.
The needles had been inserted by the woman in an apparent attempt to deal with anxiety brought on by paranoid delusions. She was later diagnosed with schizophrenia.
The details of the incident are contained in a case report by three doctors attached to the emergency department at Connolly Hospital, which has been published by the Irish Medical Journal.

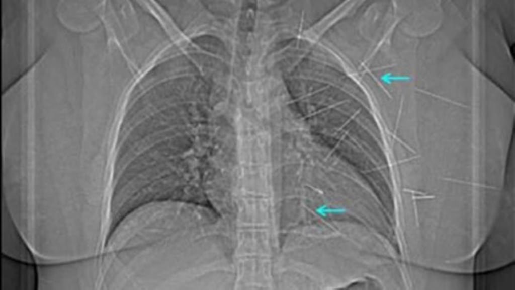
The patient attended the emergency department reporting that she had a single needle lodged in her chest, but a subsequent X-ray detected at least 19 foreign objects in her body.
She was urgently transferred to the Mater Hospital, where she underwent surgery the same day.
A needle that was penetrating the right ventricle of the patient’s heart was removed, along with two needles that had been lodged in her abdomen. The operation was completed without complication.
The report notes the woman did well after the surgery and was referred to psychiatry services for further management and was found to have a diagnosis of schizophrenia.
"Although an innocuous presentation, this was a life-threatening injury," states the case report authored by Dr Fareeda Borhan, Dr Nafisah Borhan, and Dr Brian O'Riordan.
“Even though a foreign body is only partially inserted into the heart, it can become completely embedded in the wall due to strong cardiac contractions.”
The movement of such objects into the chambers of the heart can be fatal, according to the report.
Usually, the type of injuries described in the case report would cause chest pain and other symptoms. However, the woman who presented at Connolly Hospital displayed no obvious sign of distress.
“Our case is unique in that the patient presented to our emergency service with multiple needles to the chest and abdomen, but without such serious complications,” states the report.









