A trip to the dentist might not be everybody’s idea of a holiday, but dental tourism is on the rise again for Irish people. According to whatclinic.com, a Dublin-based medical tourism search engine, the number of people living in Ireland inquiring about dental tourism has increased by 5 per cent in the past 12 months, although current figures have fallen by 34 per cent since a peak in 2009.
Peter Smith, who is 44 and from Kells, Co Meath, went to Budapest to get his teeth fixed in 2011. He was suffering from gingivitis in the gums. A lot of his teeth had become loose over the years, and he had been fitted with dentures.
“It was just a nightmare,” he says. “I’d go out for a meal with people and I’d be afraid the dentures would get stuck in the food I was eating. I was always eating with my hand over my mouth. At work one day I ate a slice of bread and snapped the denture in two from biting the crust. I had to leave work and go straight to the dentist to try to get the thing repaired. Because of the plastic plate, your whole jawline collapses. You look gaunt. I was fed up, so I researched implants.”


Treatment sessions
Smith spent almost a year doing the groundwork, including organising the finances. It cost him approximately €18,000 for a job he priced in Ireland at €55,000. He went with a company called Dental Hungary, having seen an ad for a free consultation in its Dublin clinic.
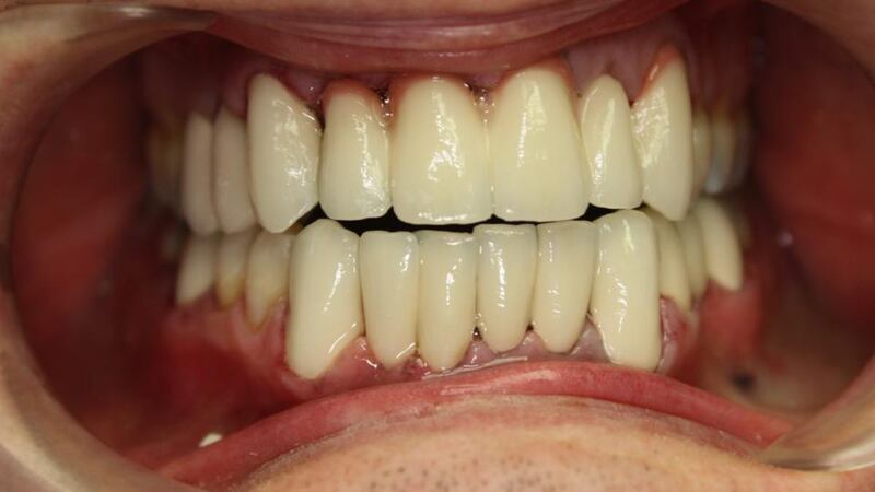
The course of treatment, which included 16 implants, entailed two trips to Budapest. A Dental Hungary rep met him at the airport in Budapest and brought him to the clinic from his hotel for treatment sessions.
The first visit to Budapest involved three days in the dentist’s chair interspersed with rest days and sightseeing around the old city on the Danube.
Smith will return for a check-up this month, and has encouraged his wife and sister to follow him east for their own dental repair work.
“My whole jaw structure went back to normal because I’ve strengthened the teeth,” he says. “I can live a normal life. Simple things: I can eat an apple, anything I want. There’s no pain. It’s a life-changing experience. I couldn’t praise them enough.”
William Murphy, who is 51 and from Dublin, also travelled to Budapest for treatment on his teeth.
He previously paid €1,100 for root canal work and a crown on a single tooth at a dentist’s surgery in Dublin. In Hungary, it cost €5,600 to have 18 teeth worked on, including root canals, crowns, bridges and teeth whitening.
“Over the years, I hadn’t been happy with my teeth in general,” he says.
“They were starting to colour and move in my mouth. They were going crooked. I knew I’d need work done, but I wasn’t going to pay €1,100 per tooth. It was a bit of a no-brainer. I couldn’t fault the whole experience in Hungary and the service provided.”
Check references
People going down the dental tourist route are advised to check for references of the dental providers they intend travelling to, and ideally to speak to other patients who have used them. A widespread criticism of overseas dental care is that patients can get too much dental treatment in too short a timespan. Fintan Hourihan, chief executive of the
Irish Dental Association
(IDA), also raises some concerns.
“We commissioned some research a few years ago. The survey, which was carried out for us by Behaviour & Attitudes, suggests about 6,000 patients every year return to Irish dentists with problems after having had treatment abroad . . . You’re talking about swelling, sepsis, numbness, bleeding gums, trauma, chipped or cracked crowns or teeth that are deteriorating underneath the crowns.
“Clearly that’s not the case for everybody who goes abroad, but if there’s a problem with the dentist in Ireland, you can go back to the dentist. The IDA has a dental complaints resolution service. If it’s serious, you can go to the Dental Council or the Small Claims Court. There is a range of remedies available. Like everything, it is buyer beware.”
Lower prices
Hourihan stresses that Irish people are loyal to their dentists: 11.5 years is the average length of their relationship.
However, the primary draw for people going abroad is the lower prices; procedures can sometimes cost two or three times less overseas.
Debbie Wood, a South African working in Dublin, went to Turkey to fix a broken tooth earlier this year.
Outside the UK, Turkey is the most popular destination for Irish people’s dental tourism, according to whatclinic.com. Wood was quoted €600 to get the tooth fixed in Dublin. Instead, she paid approximately €650, which included flights and a week’s package holiday, to get an “all-ceramic” Zirconia crown installed. A company called Tourmedical treated her.
“The big stumbling block for me was that I didn’t know anything about Turkey,” she says.
“It can be cheap, but it could be a disaster in the making. My advice would be: do your research, don’t be too scared to take a chance, and if they’re trustworthy, go for it. I met some fantastic people, I had a wonderful holiday and I got my tooth sorted for a third of the price.”







